How is a general dentist different from a periodontist? This is one of the most asked questions. To address the question, while a general dentist is qualified to perform the same procedures, a periodontist is qualified to perform more. They possess all the required training, cutting-edge skills, and in-depth knowledge. Find out if you should see a periodontist in Dieppe, New Brunswick, as well as how they can assist you.
Here are some of the most common reasons why people consult a periodontist:
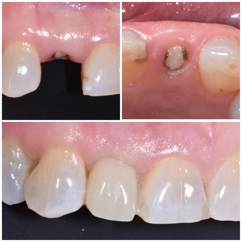
Periodontal (Gum) Disease:
When there is an infection of the tissues that support your teeth, it is known as periodontal (or gum) disease. Some contributing factors of this condition are poor brushing and flossing practices leading to plaque, a sticky film of germs that accumulate on the teeth and harden. The usual symptoms include swollen, bloodshot, and bleeding gums. People who have this condition can find it difficult to chew as it may be painful. In the worst scenarios and when left untreated for a long, teeth might become loose or require extraction.
Gum Recession:
Gum recession is a subtype of gum disease, and often one of the top reasons to see a periodontist. In a gum recession, the roots of one’s teeth become visible as the gum tissue begins to move away. These conditions should be dealt with urgently as delaying may lead to cavities since the more you brush or chew, your teeth may become sensitive. Gum recession can typically range from minor to severe.
Loose Teeth:
The looseness or shifting of your teeth can be indicative of advanced periodontal disease, and prompt action is necessary. In such a case, a periodontist can carry out a thorough examination to gauge the extent of the problem and create a customized treatment strategy to avoid tooth loss.
Family History of Gum Disease:
People who have a history of gum disease in their family are more susceptible to developing this particular condition. And in case fall into this category, it is advised that you visit a periodontist regularly to keep a close watch on your oral health and avert any potential dental issues.
Final Thoughts:
Poor oral health should be a cause of major concern. Get yourself a periodontist appointment, and get a proper evaluation of your oral health. In case there is an issue that needs urgent dental care, the periodontist can help you by understanding your options.









