If you lose your tooth for any reason, you are likely to have bad health. Many argue that a missing tooth does not affect your overall well-being. On the contrary, several health complications can be encountered if your teeth are not in good condition. It is strongly recommended to see a dentist in Midtown Manhattan, NY, who can give you guidance on good dental care. Some of the tips for tooth decay prevention are elaborated on below:
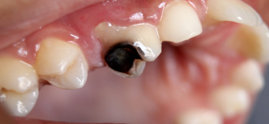
Tooth decay
It is the loss of one or more teeth naturally in which the tooth enamel and structure get badly affected. There are several reasons for tooth decay. Mainly eating the wrong kind of foods such as chocolates, candies, cakes, burgers, and pizzas and drinking coca cola, coffee and alcohol can have bad effects on the well-being of teeth. Tobacco can be one of the reasons why tooth decay occurs. These substances have bacteria, sugars, and other harmful substances that can combine with saliva and give rise to various health complications.
Tooth decay prevention
If you want to get rid of this problem and make your teeth healthier, you should follow the below-mentioned tips:
- Brushing your teeth twice a day can help you a long way. Most importantly brushing them before going to bed can keep your teeth safe from tooth decay because the bacteria grow more when you are asleep. The toothpaste must contain fluoride.
- If you don’t have time to brush your teeth after every meal, you can rinse them well with water. It ensures that leftover food is eliminated from different parts of your mouth.
- It is a good idea to contact a dentist to get a prescription for the best mouthwash, toothbrush, teeth whitening products, and toothpaste.
- Apart from cleaning your teeth, you should pay attention to what you eat. Your diet must contain fresh fruits, vegetables, and juices instead of foods containing high sugars.
- Your diet must contain calcium, magnesium, and vitamin D, which are required for the strength and longevity of your teeth.
- You and your children must rinse your teeth with fluoridated water because it helps in tooth decay prevention.
- If you want to reduce the tooth decay problem, you should get in touch with a dentist on a regular basis for oral examination and dental cleanings.
It is suggested to contact your dentist if you are experiencing any dental issues.

